Module 40, Pediatric Orthopaedist Level

This patient is an 8 year old white male with no significant past medical
history, who slammed his knee in a car door 5 weeks prior to presentation.
He complains of right knee pain, swelling, and decreased range of motion.
The patient denies locking of the knee, but gives a questionable history
of "giving way" of the knee. On physical examination, the patient
has a small effusion. There is no medial or lateral joint line tenderness.
There is no tenderness around the collateral ligaments. Range of motion
is 30-90 degrees. There is no instability to varus or valgus stressing
at 0 degrees and 30 degrees. MacMurray test is negative. Lachman test shows
a slight increase in laxity compared to the contralateral side, but with
an endpoint. Anterior drawer test also shows a good endpoint. Posterior
drawer test is negative. KT-1000 testing was equal on both sides. The patient
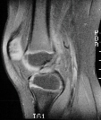
was sent for physical therapy and an MRI to rule out ligament or meniscal
injury. The MRI was read by radiologist as anterior cruciate ligament tear
and small medial meniscal tear (images above).
Question 40A

Arthroscopic
evaluation should be scheduled.
Question 40B

This
boy may have a congenital absence of the cruciate ligament.
Question 40C

This
child is only eight years old, it is almost impossible to do a repair of
the anterior cruciate ligament without causing growth plate injury.
Question 40D

Although
ACL tears rarely occur in young children, this injury may cause long term
disability.
Question 40E

If
the MRI demonstrated what appeared to be a meniscus tear an arthroscopy
would definitely be indicated.
Go to Next Question Module, Go
to General Orthopaedist Level Modules, Go
to Question Module Home Page, Go
to Case Presentation Home Page, Orthopaedic
Department Home Page.