

![]()
If
an acetabulum is seen on x-ray, the femoral head will also be
present although ossification may be severely delayed.
![]()
If
the foot is at the level of the knee the treatment of choice is
a Syme amputation of the foot.
![]()
Renal
abnormalities are the most commonly associated congenital deformities
with Proximal Femoral Focal Deficiency(PFFD).
![]()
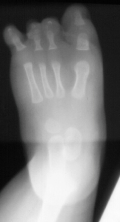
Foot
deformities are very commonly associated with PFFD.
![]()
The
two essential factors to be considered in determining any treatment
plan for PFFD are the predicted length of the femur at maturity
and pelvic-femoral stability.
Go to Next Question Module, Go to General Orthopaedist Level Modules, Go to Question Module Home Page, Go to Case Presentation Home Page, Orthopaedic Department Home Page.