Module 52, Pediatric Orthopaedist Level
1,
2
A three year old girl is brought for evaluation because of possible
scoliosis. Her developmental history was of a normal vaginal delivery weighting
8 pound 6 ounce, full term female with no perinatal events and normal intrauterine
movement. She was developing normally until 6 months of age when parents
noticed she stopped moving her legs and lost the ability to roll over.
At that time a work up including muscle biopsy concluded that the diagnosis
was Spinal Muscular Atrophy (SMA). She was managed with outpatient and
inpatient rehabilitation consisting of intensive physical, occupational
and aquatic therapy and the use of long leg braces at age of 2. By age
three there was concern about her spine. Radiographic evaluation at age
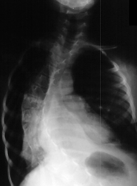
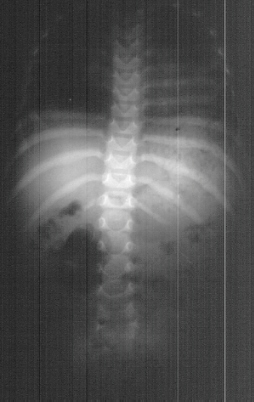
of 3 (image 1) and age of 6 (image 2)were done.
Question 52A

The
child is having more difficulty using a positioning orthosis for sitting,
however she is too young to have a spine fusion. Continued persistence
with a spinal orthosis is required.
Question 52B

Because
of the on going problems with sitting a short in situ fusion in the lumbar
spine is recommended. The child will be maintained in cast after surgery.
Question 52C

If
a spine fusion is performed the respiratory function will improve.
Question 52D

Most
children lose physical function following spinal fusion for scoliosis.
Question 52E

The
diagnostic finding which is pathognomonic for SMA is fibrillation potentials
associated with denervation in a child with a history of progressive weakness.
Go to Next Question Module, Go
to General Orthopaedist Level Modules, Go
to Question Module Home Page, Go
to Case Presentation Home Page, Orthopaedic
Department Home Page.