Module 57, Pediatric Orthopaedist Level



This is a 12 year old girl who presented with a chief complaint of
left knee pain on the medial aspect of the proximal tibia. The pain was
described as a dull, aching pain present for one year's time, occasionally
awakening her from sleep and occasionally worsening with sports activities.
Her past medical history was essentially unremarkable. There was a questionable
family history for "bony tumors". Physical examination revealed
full range of motion of all her extremities. She was neurovascularly intact.
DTR's were normal and symmetric. Palpation at the left knee revealed an
asymptomatic mass at the distal femur medially and a painful protrusion
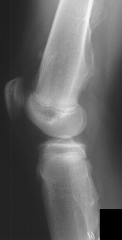
at the medial proximal tibia. X-rays of her left knee in the AP/lat/oblique
views revealed multiple exostoses of the distal femur and proximal tibia.
These were also noted in bilateral forearm films at the proximal and distal
poles.
Question 57A

Bone
scan would be a useful test to rule out the presence of chondrosarcoma
in these exostoses.
Question 57B

Malignant
transformation at this age would be very rare.
Question 57C

Pseudoaneurysm
of the popliteal artery may be caused by this condition.
Question 57D

Exostosis
are 3 times more common in girls.
Question 57E

This
girl should be checked for limb length discrepancy.
Go to Next Question Module, Go
to General Orthopaedist Level Modules, Go
to Question Module Home Page, Go
to Case Presentation Home Page, Orthopaedic
Department Home Page.