Module 62, Pediatric Orthopaedist Level

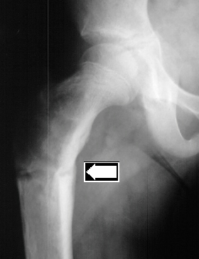
A 10 year old white female was evaluated in the orthopaedic clinic for leg length discrepancy. Her disease process has been characterized by early breast development at 3 years of age, menarche at the age of 6, and a pathologic subtrochanteric fracture after a trivial fall at age 8. She now complains of a limp and pain after long walks. The patient demonstrated a large pigmented lesion with irregular border located in the right upper back. There was a two centimeter leg length discrepancy by the block test.


Question 62A

The pain is probably from the expansion of the bone lesion in the femur.


Question 62B

Because this is a girl, she is much more likely to have multiple bones involved.


Question 62C

This occurred outside playing when she slipped and sustained an acute fracture of the femur. There are no concerns about bringing her to the operating room without further work-up.


Question 62D

If this girl's pain continues with activity and gets worse over the next six months but the x-ray remains unchanged, curettage and bone grafting of the lesion is recommended.


Question 62E

The leg length discrepancy can be treated by distraction lengthening through an area of the femur not involved in the lesion.


Go to Next Question Module, Go to General Orthopaedist Level Modules, Go to Question Module Home Page, Go to Case Presentation Home Page, Orthopaedic Department Home Page.