SPRENGEL'S DEFORMITY
MICHAEL T. LEGEYT, M.D. Orthopaedic Resident
KIRK DABNEY, M.D. Attending Pediatric Orthopaedic Surgeon
July 17, 1996
CLINICAL CASE PRESENTATION
ORTHOPAEDIC DEPARTMENT
THE ALFRED I. DUPONT INSTITUTE
WILMINGTON, DE
CASE HISTORY
HISTORY: This is a 5 + 3 year old white female the product of a full-term
normal spontaneous vaginal delivery with a diagnosis of CHARGE syndrome
(defects of the eyes, ears, heart, choanal atresia, mental retardation,
and genital hypoplasia) who presented for evaluation of a webbed neck left
side worse than right. Pt has developmental delay and began walking at
4 years of age. She had undergone previous surgery for strabismus and atrial
septal defect.
PHYSICAL EXAM: General - Small for chronological age
- HEENT - Defects of the eyes and ears noted
- NECK - Shortened and Webbed left worse than right
- BACK and SHOULDER - elevated scapula left worse than right , scapula
rotated down and away from spine, shoulder abduction 110 degrees on right
and 100 degrees on left
- Cavendish Grade - right II, left III
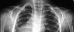
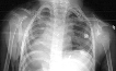
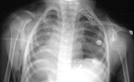
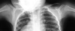
XRAYS: Demonstrate elevated left scapula worse than right,
No evidence of omovertebral bone on either side, Thoracic Kyphosis - no
other spinal abnormalities
TREATMENT: Modified Woodward Procedure with clavicular osteotomy and
morcellation on left Side.
FOLLOW-UP: Doing well with a healed incision at 3 weeks post op
GENERAL DESCRIPTION
CLINICAL FEATURES
- Most common congenital deformity of the shoulder
- Asymmetry of shoulder (in unilateral cases)
- female : male 3:1
- left more common than right
- Neck appears fuller, shorter on the affected side
- Clavicle tilted superiorly about 25 degrees
- Rotated down and away from spine
- Decreased Abduction, Lateral motion and rotation of scapula is limited
with decreased scapulothoracic motion
- Glenohumeral joint is normal with normal ROM
RADIOGRAPHIC FINDINGS
- Elevated Scapula
- Associated bony deformities
- Best views - AP of both shoulders with arms abducted and adducted maximally
- Lateral cervical and thoracic spine to look for other abnormalities
- Oblique and Lateral of scapula to show omovertebral bone (1/3 of cases)
TREATMENT
- Goals:
- correct deformity
- improve function
- improve cosmesis
- Physical therapy to maintain ROM preop and improve strength
- Factors in considering surgical correction
- Cosmesis
- Cavendish Grade III or IV
- Functional
- omovertebral bone or scapulothoracic fibrous adhesions have better
outcomes and improved function with resection
- Associated Anomalies
- i.e. treat scoliosis at same time
- Age of Patient
- although somewhat controversial most agree 3 - 8 years of age
Literature Review
HISTORICAL:
- 1863 Eulenberg first decribes 3 cases of congenital elevated scapulae
- 1880 Willet and Walsham describe the first case involving an omovertebral
bone
- 1891 Sprengel describes 4 cases
- 1891 Kolliker reports several cases and labels the deformity after
Sprengel
Etiology (Horowitz):
Sprengel's Deformity is a failure of descent of the scapula caused by:
- too great an intrauterine pressure
- Abnormal articulations of scapula with the spine (omovertebral bone)
- defective musculature of the scapulothoracic region
- arrest of development due to ineffective muscular tension
Pathology:
The scapula appears at the 5th week of gestation at C5 - T1, then migrates
to the adult position by birth to T2 - T7. Some have bony articulations
with the spine via omovertebral bones. Others have defective musculature:
Trapezius, Rhomboids, Levator Scapula are most common; Pectoralis Major/Minor,
Latissimus Dorsi, Sternocleidomastoid, Serratus Anterior less commonly.
The affected muscles undergo degeneration, necrosis, fibrosis and secondary
contracture. Also the scapula is hypoplasic on the affected side.
Associated Anomalies (70% of Cases): Absence/Fusion of Ribs, Cervical
Ribs, Klippel - Feil Syndrome, Congenital Scoliosis with Hemivertebrae,
Cervical Spina Bifida, Syringomyelia, Paraplegia, Platybasia, Situs inversus,
Mandibulofacial dysostosis, Clavicular Abnormalities, Cardiac Anomalies
ASD, VSD, Kidney Malformations, Etc.
Cavendish Classification
- Grade I: Very Mild
- Shoulders appear symmetrical when clothed
- Grade II: Mild
- Superomedial angle of scapula is visible as a lump in the web of the
neck
- Grade III: Moderate
- Shoulder joint is elevated by 2-5 cm
- Deformity is easily visible
- Grade IV: Severe
- Superior angle is near the Occiput
- severe webbing of the neck
Outcome Expectations:
In a recent article from the Alfred I. duPont Institute reviewing the
long term results (average follow-up 8 years) of the modified Woodward
procedure in 15 patients, there was improved cosmesis with a decrease of
at least one Cavendish Grade in all patients, average scapular lowering
of 2.7cm, and an average improvement in shoulder abduction by 35 degrees.
There were only minor complications noted including one transient brachial
plexus palsy, one widened scar, and one scapular winging.
REFERENCES:
- Borges, JLP; et al. Modified Woodward Procedure for Sprengel's Deformity
of the Shoulder: Long-Term Results. JPO 16:508-513,1996.
- Cavendish, ME. Congenital elevation of the scapula. JBJS 54-B:395,1972.
- Eulenberg, M. Casuist ische Mittheilungen aus dem. Begiete der Orthopadie.
Arch Klin Chir 4:301,1863.
- Eulenberg, M. Beitrag sur Dislocation der scapula amtliche Berichte
uber die Versammlungen deutscher Naturforscher und Aerzte fur die Jahre.
37;291,1863.
- Horowitz, AE. Congenital elevation of the scapula-Sprengel's deformity.
Am J Orthop Surg 6:260,1908.
- Kolliker, T. Mittheilungen aus der chirurgischen Bemerkungen zum Aufsatze
von Dr. Sprengel. " Die angeborene Verschieburg des Schulterblattes
nach oben." Arch Klin Chir 42:925,1891.
- Robinson, RA; et al. The surgical importance of the clavicular component
of Sprengel's deformity. JBJS 49:1481,1967.
- Sprengel, O. Die angeborene Verschieburg des Schulterblattes nach oben.
Arch Klin Chir 42:545,1891.
- Willet, A and Walsham, WJ. An account of the dissection of the parts
removed after death from the body of a woman the subject of congenital
malformation of the spinal column, bony thorax, and left scapular arch;
with remarks on the probable nature of the defects in development producing
the deformities. Med Chir Trans, London 63:256,1880.
- Woodward, JW. Congenital elevation of the scapula. Correction by release
and transplantation of muscle origins. A preliminary report. JBJS 43:219-228,1961.
[Orthopaedic Department Home Page,
Resident Education Home Page, Back
to Question Module, Back to Case Presentations,Top(Sprengel's
Deformity).